White Composite Fillings in Madurai
Why Choose White Fillings?
- Aesthetics: Virtually invisible. We match the shade to your natural tooth color.
- Mercury-Free: Safe and non-toxic, unlike traditional silver fillings which contain mercury.
- Conservative: Composite bonds to the tooth, meaning we remove less healthy tooth structure compared to metal fillings.
- Strength: Restores the strength of the tooth by bonding the walls together.
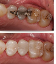
Replacing Old Silver Fillings
Many patients choose to replace their old, dark amalgam fillings with white ones. Not only does this improve the look of your smile, but it can also prevent the tooth from cracking, as metal expands and contracts with temperature changes.
The Procedure
The process is quick and usually done in a single visit:
- We remove the decay (or old filling).
- The tooth is cleaned and prepared.
- The composite material is applied in layers and hardened with a special light.
- We shape and polish the filling for a smooth, natural bite.
Restore Your Smile Today!
Book Appointment: 9344855157
